峯田清隆
矯正歯科担当歯科医師

正しい呼吸とは鼻呼吸です。鼻詰まりなどで口で呼吸をしているとドライマウスになって虫歯になりやすかったり、肺に汚れた空気が入ることによるアレルギーやアトピーを引き起こしたりします。姿勢が悪くなったり集中力が持続しなかったりお子さんの健やかな成長を阻害する要因には口呼吸があります。
矯正用の拡大装置を使うと顎を広げる作用で歯並びも良くなりますが、鼻腔も広がるので口呼吸を改善し、様々な症状が改善する可能性があります。ぜひご相談ください。
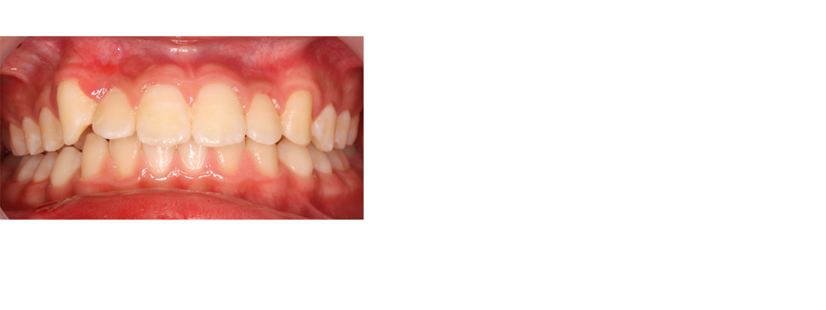
歯並びが混み合っている原因は歯の大きさに対して歯列(顎の大きさ)が小さいことが多いです。
硬いものをよく噛んでいれば顎が成長するのでしょうが、柔らかいものを食べている私たちは顎が小さくなっています。そこで歯列を大きくする拡大装置を使って歯列全体を大きくして永久歯が綺麗に並ぶように治療します。
略歴:
1957年 宮崎県生まれ
1976年 延岡西高校卒業
1982年 大阪歯科大学卒業
1985年 宮崎市にて峯田歯科開院
2019年 峯田歯科閉院(宮崎から大阪へ転居)
2020年 池野歯科非常勤勤務、他複数の歯科医院にて非常勤勤務
Study Group:
保田矯正塾
日本病巣疾患研究会
資格:IDIA 顎顔面外科矯正認定医




固定式拡大装置は床タイプと違って自分で外せないので、確実に治療が進みます。 また床タイプでの拡大では傾斜移動になり根尖が動きませんが、固定式の場合は歯体移動ができ、鼻腔も広がる可能性があり口呼吸から鼻呼吸への改善可能性があります。


















